조병수의원 원장, 美신장학회서 6년~10년 장기관찰 환자 10명 새 치료법 결과 발표
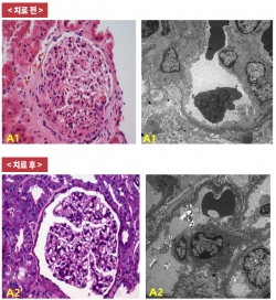
콩팥 기능이 매우 나쁜 중증IgA신장염, 특히 사구체 여과율이45ml/min미만이면 거의100%말기신부전으로 이행하는 환자들에게 희소식이 전해졌다.여과율26ml/min인 중증IgA신장염 환자(그룹 A) 7명과여과율은 좋지만 신생검 소견상Lee classification IV/V기로 진단된 환자(그룹 B) 3명을 6년에서 10년 장기 관찰한 결과, 두 그룹 모두 여과율이 호전되면서 콩팥 기능이 호전돼 투석을 받지 않고 생활한 것으로 나타났다.국내 신장병 치료 최고 권위자인 조병수의원의 조병수 원장(경희대 의대 명예교수)…
2023-11-28 05:53:55


