
"원인 불명 본태성 고혈압을 앓는 성인은 고혈압 치료제를 복용하기 전에 반드시 신장(콩팥) 검사를 통해 사구체 기능 이상 유무를 판단한 뒤 치료를 시작해야 한다. 의사는 물론 환자들도 이런 사실을 인식하고 있을 필요성이 높아졌다."
조병수 박사(조병수의원 대표원장)는 금년 상반기 프랑스 파리에서 개최된 유럽신장학회(European Renal Association) PARIS & VIRTUAL 2022)에 참석, '사구체 여과율이 저하돼 있는 고혈압환자는 필수적으로 신장조직검사(신생검)를 받아야만 한다'는 주제의 연구결과를 발표했다.
조병수 박사가 발표한 내용을 정리하면 다음과 같다.
현재 전 세계적으로 일반인들이 건강검진 등을 통해 건강관리를 강화해 나가고 있다. 그럼에도 불구하고 신장투석이나 신장이식을 받아야 하는 말기신부전으로 진행된 환자 수는 지속적으로 늘어나고 있는 추세다.
왜 그럴까? 신장병 특히 사구체질환은 건강검진만으로는 조기발견이 어려운 경우가 많기 때문이다.
"소변검사 정상이어도 신장 기능 정상이라고 판단하면 안돼"
특히 혈액이나 소변검사 결과가 신장 상태를 정확히 나타내지 못하는 경우가 많기 때문에 소변검사가 정상이라고 해서 신장기능이 정상이라고 판단하면 안된다. 실제로 만성사구체 신장염 초기는 소변 검사가 정상이면서 별다른 특이 증상 및 소견이 없기 때문에 진단이 어려운 경우가 많다.
더욱이 옆구리 통증 및 무기력, 거품뇨, 빈혈 등의 자각증상이 나타났을 때는 이미 신장은 비가역적인 심한 손상을 받은 상태인 경우가 많기 때문에 말기신부전 환자가 세계적으로 늘어나고 있는 것으로 파악된다.
말기신부전의 주요 원인은 당뇨병과 고혈압으로 알려져 있다. 이 중 당뇨병은 혈당 조절을 잘 하면 말기신부전으로의 이행을 늦추거나 예방할 수 있다.
하지만 고혈압은 아무리 조절을 잘해도 말기신부전으로 진행되는 경우가 매우 많다. 이런 측면에서 충분한 검토와 고려 없이 혈압약을 선택, 복용하면 혈압은 정상으로 유지할 수 있어도 자칫 신장 기능을 급속도로 악화시킬 수 있다.
또한 고혈압 약제에 따라서는 신장 기능을 악화시키는 경우도 있으므로 반드시 사구체 이상 여부를 확인하고 약제를 선택할 필요가 있다. [참고. 조병수 박사가 2021년 발표한 ‘Renal Biopsy Is Mandatory in Normal Urinary Findings with Unknown Origin Hypertension or CKD’(PO2290, ASN(미국신장학회) Kidney Week 2021)에 근거했으며, 해당 발표를 통해 고혈압 약제 선택에 있어 고혈압 원인 규명이 반드시 필요하다고 주장했다.]
현재 고혈압 약제로 주로 사용되고 있는 칼슘통로차단제(Calcium Channel Blockers, CCB)는 신장 사구체 압력을 높여 신장염을 악화시킬 수 있어 신장 사구체 이상, 즉 만성사구체신장염으로 인해 고혈압이 발생한 경우에는 단기적으로 혈압을 조절할 수 있을지 모르나 근본적 치료가 되지는 않는다.
"칼슘통로차단제, 신장 사구체 압력 높여 신장염 악화시킬 가능성 있어"
지난 2014년부터 2021년까지 입원하지 않고, 외래 신생검을 통해 총 1,440명의 신장조직 검사를 시술한 결과, 이들 중 약 25.5%에 해당하는 367명이 소변검사에서는 별 이상 소견이 없는 본태성고혈압으로 진단 받았다.
하지만 이들은 사구체 여과율이 70ml/min 이하로 저하됐 있는 환자였다. 이들을 분석한 결과, 전체 대비 79.8%인 293명이 lgA 신장염, 국소성분절성사구체경화증, 미만성 메산지움증식성사구체신장염, 간질성신장염 등 중증사구체 질환을 앓고 있는 것이 확인됐다.
더 중요한 것은 순수하게 고혈압 때문에 신장이 손상을 받은 경우는 5명(1.4%) 뿐 이었다.
그래서 이들 환자들을 근본적 원인인 사구체 신장질환을 치료해서 사구체 여과율 호전과 함께 고혈압도 치료할 수 있었다. [참고. 이런 사례를 제시하자 유럽신장학회 참석 의학자들이 많은 관심을 보였고 호응 역시 높았다.]

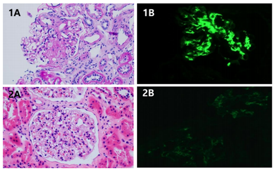
첫 번째 증례는 58세 남자 환자로서 10년 간 고혈압 약제를 복용한 결과, 소변검사는 정상이었으나 사구체 여과율이 63ml/min으로 저하됐다. 이 환자는 신장조직검사 결과, 43%의 사구체 경화증을 동반한 lgA 신장염 소견을 보였으며 (사진 1A,1B) 치료를 위해 고용 량 스테로이드 요법을 시행했다.
치료 후 혈압 및 임상 증상 소견이 호전됐으며, 다시 실시한 신장조직검사에서 병리 소견 역시 호전되는 양상을 보였다(사진 : 2A,2B).

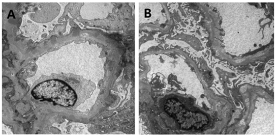
두 번째 증례는 8년간 고혈압 약제를 복용한 47세 남자 환자로 외래 방문했을 당시 혈압이 수축기 160, 이완기 107의 전형적인 고혈압 양상을 보였다. 이 환자 역시 신장조직검사 결과, 14%의 사구체 경화증을 동반한 막성신염으로 진단(사진 : A), 고용량 스테로이드 요법을 6개월 시행했다.
"많은 고혈압 환자가 사구체 신장질환 앓고 있으며 이는 고혈압 원인으로 추정"
그 결과, 혈압은 수축기 129, 이완기 79의 정상 소견을 보였으며, 추적 신장조직검사 결과에서 병리 소견도 완전히 소실됐던 족돌기가 거의 다 원상 복구됐으며 면역침착물 역시 거의 정상으로 호전됐다.(사진 : B).
이런 사례를 연구, 분석한 결과 사구체 여과율이 저하돼 있는 고혈압 환자의 80%는 심각한 사구체 신장질환을 동반하고 있으며, 고혈압 원인이 사구체 신장 질환으로 판명됐다.
그런 측면에서 적극적인 면역억제요법 등을 통해 근본 치료를 시행하면 말기신부전으로의 이행을 예방할 수 있다.