
![]()
세브란스병원이 ‘뇌척수액 정맥 누공’ 환자 진단과 치료에 국내 최초로 성공했다.
뇌척수액 정맥 누공은 자발성 두개내 저압증의 드문 형태 중 하나로 뇌를 보호하고 뇌의 압력(두개내압)을 유지하는 뇌척수액이 ‘비정상적인 통로(fistula, 누공)’를 통해 척수 주변의 정맥으로 새나가는 상태를 말한다.
명확한 원인이 없이 발병해 진단이 어려우나 결과적으로는 뇌의 압력을 낮춰 여러 가지 증상을 일으킨다.
일어서면 두통이 심해지는 기립성 두통, 판단력이 떨어지거나 문제 해결력이 낮아지는 인지기능 저하, 보행장애까지 발생해 일상에 큰 영향이 있다.
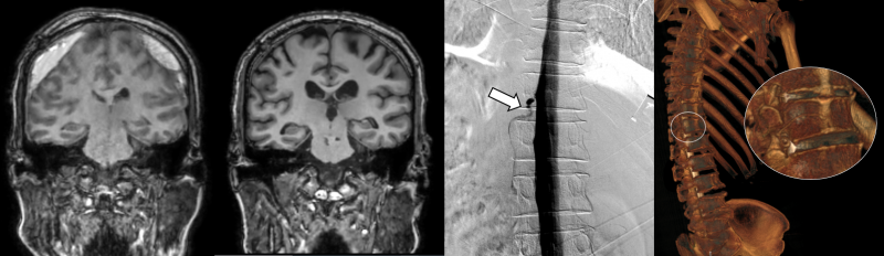
일반적인 자발성 두개내 저압증과는 달리 아형인 뇌척수액 정맥 누공은 MRI에서는 정상 소견을 보일 수 있어 원인 규명부터 치료까지 난항을 겪는 질환이다.
실제로 이번에 치료를 받은 뇌척수액 정맥 누공이 있던 환자 4명 모두는 세브란스병원에 오기 전 뇌압이 낮아져 두통이 생기는 ‘자발성 두개내 저하증’이 의심됐으나, 척추 MRI와 단순 척수 조영술 검사에서는 전부 정상 소견을 보였다.
본인의 혈액으로 뇌척수액 누출 위치를 막는 자가혈액패취술 등을 시행해도 증상이 호전되지 않던 이유다.
이에 더해 압력이 낮아진 뇌로 인해 뇌를 감싸는 경막 내부와 정맥을 이어주는 교량정맥이 끊어져 경막하출혈도 발생, 스스로 보행이 불가능한 상태였다.
세브란스병원은 최근 DSM을 국내 최초로 도입해 이 같은 기존 진단법의 한계를 극복했다.
DSM(Digital Subtraction Myelography, 디지털 감산 척수조영술)은 척수에 조영제를 주입하고 모니터 화면으로 뇌척수액의 흐름을 실시간으로 확인할 수 있다. 이를 통해 뇌척수액이 새나가는 구멍을 정확하게 찾아낼 수 있게 됐다.
DSM과 더불어 세브란스병원이 함께 진행 중인 측위 CT 척수 조영술까지, 모두 뇌척수액 정맥 누공을 진단할 수 있는 최신 기법이다.
신경과 전문의(주민경, 하우석 교수)와 신경외과 전문의(하윤 교수)가 긴밀히 협력하는 만큼 진단과 치료가 원스톱으로 가능하다.
이번에 세브란스병원을 찾은 환자들은 DSM 검사와 측위 CT 척수 조영술로 뇌척수가 새어나가는 부위를 정확히 진단, 치료받고 뇌압을 회복했으며 경막하출혈도 사라졌다. 이에 환자들에서 보였던 인지기능 저하와 보행장애가 모두 호전됐다.
세브란스병원은 여러 진료과 전문의가 환자 한 명씩 치료 전략을 고민하는 다학제 진료와 3D 실시간 검사법의 선제적 도입이 국내서 처음 뇌척수액 정맥 누공 진단과 치료에 성공할 수 있던 기반이라고 밝혔다.
하우석 교수는 “자발성 두개내압 저하증과 특별한 외상이 없이 발생하는 경막하출혈 원인 중 하나였던 뇌척수액 척수 누공은 두통, 인지능력 저하 등 심각한 고통을 일으키지만 기존 진단법으로는 원인 규명이 쉽지 않던 상황”이라며 “병원이 도입한 DSM과 측위 CT 척수 조영술로 척수액 누출이 발생하는 지점을 정확히 찾아내 치료할 수 있다”고 말했다.
![]()
.
() (fistula, ) .
.
, , .
MRI .
4 , MRI .
.
, .
DSM .
DSM(Digital Subtraction Myelography, ) . .
DSM CT , .
(, ) ( ) .
DSM CT , . .
3D .
, DSM CT .