
콩팥 기능이 매우 나쁜 중증 IgA신장염, 특히 사구체 여과율이 45ml/min 미만이면 거의 100% 말기신부전으로 이행하는 환자들에게 희소식이 전해졌다.
여과율 26ml/min인 중증IgA 신장염 환자(그룹 A) 7명과 여과율은 좋지만 신생검 소견상 Lee classification IV/V기로 진단된 환자(그룹 B) 3명을 6년에서 10년 장기 관찰한 결과, 두 그룹 모두 여과율이 호전되면서 콩팥 기능이 호전돼 투석을 받지 않고 생활한 것으로 나타났다.
국내 신장병 치료 최고 권위자인 조병수의원의 조병수 원장(경희대 의대 명예교수)은 최근 미국 필라델피아에서 열린 '2023년 미국신장학회'에서 이 같은 내용이 담긴 중증 IgA 신장병의 새로운 치료법을 소개, 전세계적으로 큰 반향을 불러일으켰다.
사구체 여과율 14ml/min 환자도 'MP pulse와 SVF 치료' 통해 투석 안하고 생활
조병수 원장은 특히 이번에 사구체 여과율이 14ml/min으로 타 대학병원서 투석치료를 권유받았던 환자도 MP pulse 치료 후 SVF치료를 이어가면서 8년째 투석을 하지 않고 생활하는 사례도 발표, 학회 참석자들로부터 화제를 받았다.
IgA 신장염은 만성사구체신장염중 가장 흔한 질환으로 아직까지 특별한 치료법은 없지만 여러가지 치료방법이 시도되고 있다. 더욱이 중증 IgA 신장염은 거의 100% 말기신부전으로 이행돼 투석이나 신장이식술을 받아야만 생명을 유지할 수 있는 실정이다.
이런 상황에서 조병수 원장은 지난 1984년부터 고용량스테로이드 충격요법(MP pulse 요법)을 사용했다. 1990년 세계 최초로 Current therapeutic strategies in nephrology 학회에서 14명의 IgA 신장염 환자를 완치시켰다고 보고한 이래 3,000여 명의 환자들에게 사용한 경험이 있다.
일반적으로 고용량스테로이드 충격요법은 부작용이 많다. 그렇기 때문에 부작용을 최소화하면서 치료를 시행해야
하기 때문에 많은 임상 경험이 필요하다.
조병수 원장은 지난 2015년 세계 최초로 중증IgA
신장염 환자(여과율 35ml.min)에게 고용량스테로이드
충격요법 후 배양을 하지 않고
자가 복부지방유래 중간엽줄기세포가 함유된 SVF(stromal vascular fraction)를 사용, 여과율이 60ml/min으로 호전됐다고 보고했다.
이번에 미국신장학회에서 발표된 내용에 따르면 그룹A 환자군은 여과율이 28ml.min에서 39ml/min으로 호전됐고, GroupB 환자군 역시 여과율이 85ml/min에서 106ml/min으로 좋아졌다.
조병수 원장은 "고용량 스테로이드나 SVF 치료를 받지않고 혈압약만 복용했던 환자는 2년 후 말기신부전으로 이행돼서 투석치료를 받고 있다"며 "아직까지 특별한 치료법이 없는 중증 IgA 신장염환자에게 MP-pulse 치료 후 자가지방유래 줄기세포(SVF) 치료법은 새로운 희망이 될 수 있다"고 밝혔다.
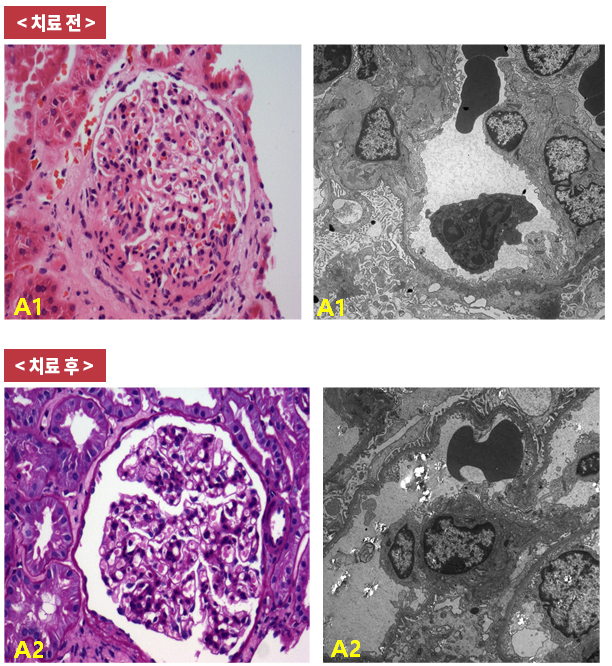
그림) MP puse therapy 와 SVF 치료 전후 신장조직 검사 소견이다. 추적 신생검
결과, 반월체 소실 및 족돌기 융합소견
호전, 그리고 EDD(전자침착물)가 소실돼 병리학적으로도 호전된 사실을 증명했다.

???? IgA, 45ml/min 100% .
26ml/min IgA ( A) 7 Lee classification IV/V ( B) 3 6 10 , .
( ) '2023 ' IgA , .
14ml/min 'MP pulse SVF '
14ml/min MP pulse SVF 8 , .
IgA . IgA 100% .
1984 (MP pulse ) . 1990 Current therapeutic strategies in nephrology 14 IgA 3,000 .
.
.
2015 IgA
( 35ml.min)
SVF(stromal vascular fraction) , 60ml/min .
A 28ml.min 39ml/min , GroupB 85ml/min 106ml/min .
" SVF 2 " " IgA MP-pulse (SVF) " .
) MP puse therapy SVF .
,
, EDD() .
