
(서울=연합뉴스) 이주영 기자 = 아스피린이 면역 억제 경로에 작용해 암세포가 종양이 다른 장기로 전이되는 것을 막아주는 메커니즘이 생쥐 실험에서 밝혀졌다. 연구진은 이 연구가 암 전이를 예방하는 데 효과적인 항전이 요법 개발에 도움이 될 것으로 기대한다.
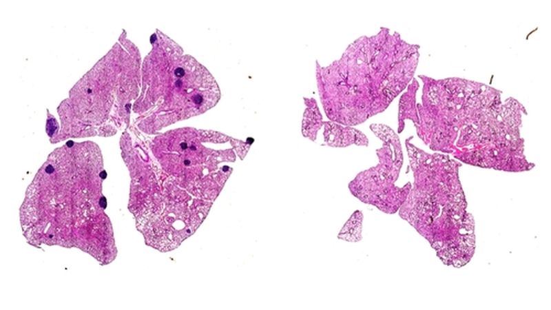
일반적인 유방암 생쥐 모델(왼쪽)의 폐에는 전이성 암(짙은 색 부분)이 발생했으나 아스피린 투여 시 억제되는 혈소판의 응고 인자인 트롬복산 A2(TXA2)에 의한 T세포 면역 억제에 관여하는 단백질(ARHGEF1)이 결핍된 생쥐에서는 전이가 일어나지 않았다. [Jie Yang 제공. 재판매 및 Db 금지]

영국 케임브리지대 라훌 로이초두리 교수팀은 6일 과학 저널 네이처(Nature)에서 암 모델 생쥐 실험을 통해 아스피린이 생쥐에서 암이 다른 장기로 전이 되는 것을 막아주는 새로운 면역 억제 경로를 발견했다고 밝혔다.
연구팀은 그러나 아스피린은 일부 사람들에게 심각한 부작용을 일으킬 수 있고 암 전이 예방을 위한 안전하고 효과적인 아스피린 사용에 관한 임상 시험이 진행 중이라며 아스피린 복용을 시작하기 전에 의사와 상담해야 한다고 경고했다.
전이는 원발성 종양에서 떨어져 있는 장기로 암세포가 퍼지는 것으로, 전 세계 암 사망의 90%가 전이 때문에 발생하는 것으로 알려졌다.
몸 안에서는 전이를 막으려는 면역체계와 이를 피하려는 암 사이에 싸움이 벌어진다. 암이 면역체계를 피하는 방법의 하나는 혈액 응고 인자인 혈소판의 트롬복산A2(TXA2)를 생성, 면역 T세포의 활동을 억제하는 것이다.
연구팀은 이전 암 환자 연구에서 매일 저용량 아스피린을 복용할 경우 유방암, 대장암, 전립선암 등의 전이가 감소하는 현상이 관찰돼 임상시험을 하고 있지만 아스피린의 전이 예방 메커니즘은 정확히 알려지지 않았다고 밝혔다.
이들은 이번 연구에서 아스피린이 염증 관여 효소인 혈소판의 시클로옥시게나제1(cyclooxygenase 1)을 억제해 TXA2 생성을 감소시키고, 이에 따라 면역 T세포 억제가 약해지면서 전이 암세포와 싸우는 능력이 향상된다는 사실을 밝혀냈다.
유방암, 흑색종, 대장암 등 다양한 암 모델 생쥐에 아스피린을 투여한 결과 아스피린을 투여하지 않은 대조군보다 암세포가 폐나 간 등 다른 장기로 전이되는 비율이 낮은 것으로 확인됐다.
연구팀은 먼저 생쥐의 유전자 810개를 검사해 암 전이에 영향을 미치는 유전자 15개를 발견했다. 특히 특정 단백질(ARHGEF1)을 만드는 유전자가 결핍된 생쥐는 다양한 원발성 암이 폐와 간으로 전이되는 비율이 낮았다.
이어 ARHGEF1이 전이성 암세포를 인식하고 죽일 수 있는 면역 T세포를 억제한다는 것을 밝혀내고, 세포 신호를 추적해 ARHGEF1이 T세포가 TXA2에 노출될 때 활성화된다는 사실을 확인했다.
즉 아스피린이 혈소판 시클로옥시게나제1(cyclooxygenase 1)을 억제해 TXA2 생성을 감소시키면서 ARHGEF1의 활성이 줄고 대신 T세포 활성이 증가해 항전이 작용이 강해진다는 것이다.
연구팀은 이 연구는 아스피린이 생쥐의 자연 면역 반응을 강화해 암 전이를 예방하는 저렴하고 효과적인 보조 요법이 될 수 있음을 시사한다며 향후 아스피린과 다른 면역 요법을 결합하면 항전이 효과를 더 강화할 수 있을 것이라고 밝혔다.
이 연구에 참여하지 않았지만 아스피린의 암 재발 예방 효과에 관한 임상시험을 이끄는 유니버시티 칼리지 런던(UCL) 루스 랭글리 교수는 "이것은 중요한 발견"이라며, "임상 시험을 통해 아스피린의 혜택을 가장 많이 받을 수 있는 사람을 알아낼 수 있을 것"이라고 말했다.
이어 "아스피린은 일부 사람에게는 출혈이나 위궤양 등 심각한 부작용을 일으킬 수 있다"며 "아스피린을 복용하기 전에 어떤 암 환자에게 도움이 될 수 있는지 밝혀내고 항상 의사와 상의하는 것이 중요하다"고 덧붙였다.
◆ 출처 : Nature, Rahul Roychoudhuri et al., 'Aspirin prevents metastasis by limiting platelet TXA2 suppression of T cell immunity', https://www.nature.com/articles/s41586-025-08626-7
scitech@yna.co.kr
(서울=연합뉴스) 이주영 기자 = 아스피린이 면역 억제 경로에 작용해 암세포가 종양이 다른 장기로 . .
() ( ) A2(TXA2) T (ARHGEF1) . [Jie Yang . Db ]

6 (Nature) .
.
, 90% .
. A2(TXA2) , T .
, , .
1(cyclooxygenase 1) TXA2 , T .
, , .
810 15 . (ARHGEF1) .
ARHGEF1 T , ARHGEF1 T TXA2 .
1(cyclooxygenase 1) TXA2 ARHGEF1 T .
.
(UCL) " ", " " .
" " " " .
: Nature, Rahul Roychoudhuri et al., 'Aspirin prevents metastasis by limiting platelet TXA2 suppression of T cell immunity', https://www.nature.com/articles/s41586-025-08626-7
scitech@yna.co.kr