
장내세균을 활용해 류마티스관절염을 치료할 수 있다는 연구 결과가 공개돼 관심을 모은다.
가톨릭대학교 서울성모병원은 17일 류마티스내과 박성환 교수, 의과대학 의생명과학교실 조미라 교수, 서울대학교 식품영양학과 지근억 명예교수(이상 공동 교신저자) 연구팀이 류마티스관절염 환자의 장내균총 분석을 통해 새로운 비피도박테리움균을 발굴하고, 동물실험을 통해 류마티스관절염 질환 모델을 대상으로 우수한 치료 효과를 확인했다고 밝혔다.
류마티스관절염은 전 인구 1% 내외에서 발생하는 만성염증성 자가면역질환으로 림프구, 혈관세포, 대식세포, 활막세포 등 여러 가지 면역세포의 기능 이상으로 활막이 과다 증식해 만성염증을 일으키며 뼈와 연골이 손상돼 관절의 파괴와 변형을 일으키게 된다.
치료에는 항-류마티스 약물(DMARD), TNFα 억제제와 같은 생물학적 제제 및 최근 개발된 Jak/STAT 신호 억제제가 사용된다.
그러나 장기사용에 대한 부작용이나 약물 내성으로 인한 약제에 불응 반응을 보이는 환자들이 늘어나고 있어, 류마티스 관절염의 발병기전에 따른 새로운 치료 전략이 필요한 실정이다.

그 결과, 류마티스 인자가 높은 환자 그룹에서 액티노박테리아(Actinobacteria)가 유의미하게 감소돼 음의 상관관계를 보이는 것으로 나타났다.
또한 액티노박테리아 하위 수준 분석을 통해 비피도박테리움균 등이 통계적으로 유의미하게 줄어든 것으로 확인됐다.
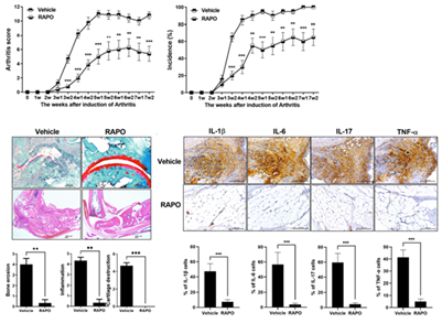
이와 함께 환자 장내세균을 이용해 면역조절 T세포를 유도하고 병인 자가면역T 세포를 억제하는 기능 검증과정을 거쳐 비피도박테리움 롱검 RAPO균(Bifidobacterium longum RAPO)을 획득한 뒤 동물실험을 진행했다.
연구팀이 질환 모델을 대상으로 비피도박테리움균(Bifidobacterium)의 질환 효력을 조사한 결과, 비피도박테리움 롱검 RAPO균(B. longum RAPO)이 대조군 대비 관절염지수가 50% 이상 감소하는 효과를 나타냈다.
연구 책임자인 박성환 교수는 “이번 결과를 기반으로 류마티스 관절염 환자에서 비피도박테리움균(Bifidobacterium)의 복용을 통해 치료에 도움을 줄 수 있을 것으로 기대된다"고 밝혔다.
한편, 연구팀은 지난 5년간 비피도와 마이크로바이옴을 이용한 류마티스관절염 파바바이오로직스 치료제 공동 개발을 추진해왔다.
최근 가톨릭대학교는 비피도에 기술이전을 통해 류마티스관절염 혁신신약개발을 위한 특허권을 이전했으며, 비피도 주관으로 임상실험을 조속히 추진하기 위해 미국 FDA와 미팅을 진행하고 임상연구 수행을 준비 중이다.